Искусственный интеллект для диагностики заболеваний печени и легких
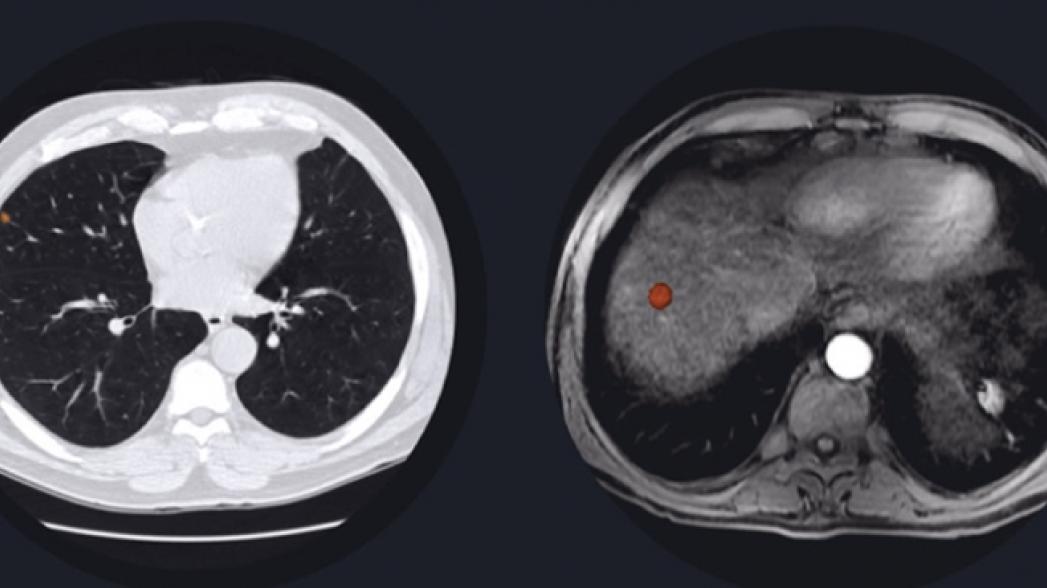
Американская компания Arteris получила разрешение от регулятора отрасли не клиническое использование своего пакета программ Arteris Oncology AI на базе технологий искусственного интеллекта. Это программное обеспечение предназначено для обнаружения раковых очагов на изображениях, полученных при компьютерной томографии легких (Lung AI) и сканах компьютерной и магнитно-резонансной томографии печени (Liver AI). Система использует методы искусственного интеллекта для выделения поражений и конкреций, и их оценки. Как показало тестирование, Arteris Oncology AI работает также качественно как сертифицированные радиологи.
Этот программный пакет, доступный через стандартный браузер, позволяет радиологам измерять и отслеживать развитие опухоли и подозрительных мест в органах человека. Поскольку система не требует использования какой-либо инфраструктуры, она относительно легко настраивается и используется, причем без необходимости как-то ее регулировать в будущем. Отметим, что это программное обеспечение соответствует всем условиям законодательного акта HIPAA* и аналогичных законов в 26 странах, включая Европу.
По словам радиолога и одного из основателей Arteris Альберта Сяо,
Мы отчаянно нуждаемся в более эффективных технологиях для автоматического отслеживания поражений легких и печени для улучшения диагностики, оценки реакции болезни на лечение, а также автоматической генерации отчетов по стандартизированной технологии, включая Lung-RADS и LI-RADS. Пакет программ Arteris Oncology AI позволяет максимально эффективность и точность работы радиологов и может стать основой системы радиологической интерпретации следующего поколения.
* HIPAA ( Health Insurance Portability and Accountability Act) - акт США 1996 года о переносимости данных и отчетности в сфере страхования здоровья. Это федеральный закон США, в котором установлены правила обмена личной медицинской информацией и ее защиты от неразрешенного использования.
