Система расшифровки КТ-сканов компании Ping An ускоряет диагностику и лечение COVID-19

20 Mar 2020
60
Прослушать

Китайская компания Ping An Insurance запустила в действие систему интеллектуальной обработки КТ-изображений, разработанную компанией Ping An Smart Healthcare для ускорения диагностики и лечения коронавирусной инфекции. Система помогает врачам быстро и эффективно поставить точный диагноз, используя технологию искусственного интеллекта Ping An.

Сегодня эталоном для диагностики COVID-19 считается тест, основанный на анализе ДНК. Однако использование этого метода требует длительного времени и может привести к высокой доле отрицательных случаев, что может стать причиной того, что некоторые пациенты пропустят "критическое окно" для раннего лечения или карантина.

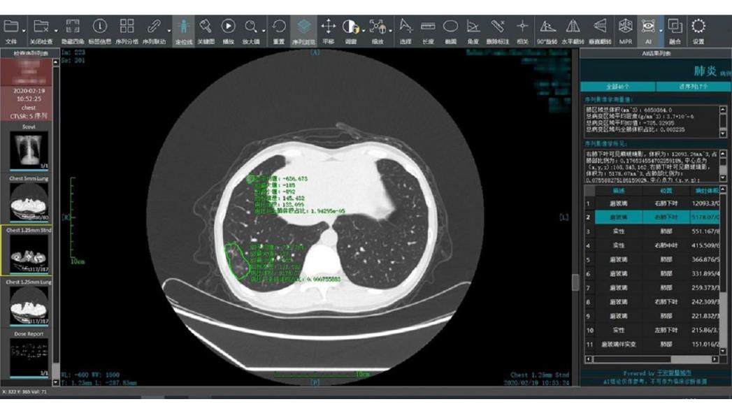
Изображения, полученные с помощью компьютерной томографии (КТ) грудной клетки, уже использовались многими врачами для постановки диагноза, однако в эпидемических районах просто не хватает рентгенологов, которые могли бы рассмотреть весь объем изображений, полученных с помощью такого метода. Система "умного" считывания изображений для диагностики COVID-19 компании Ping An может закрыть этот пробел.

Для обучения модели искусственного интеллекта для своей системы интеллектуальной обработки КТ-изображений компания Ping An Smart Healthcare использовала клинические данные больных коронавирусной инфекцией.

Эта система анализа на основе алгоритма искусственного интеллекта может проводить сравнительный анализ нескольких изображений одного и того же пациента, полученных методом компьютерной томографии грудной клетки, и измерять изменения в легких. Она помогает врачам отслеживать развитие болезни, оценивать лечение и получать прогноз развития болезни для пациентов, т.е. помогает врачам быстро и эффективно диагностировать, сортировать и оценивать перспективы пациентов с COVID-19.

Система также поддерживает возможность дистанционной обработки изображений медицинскими специалистами, находящимися за пределами эпидемиологических зон.

По словам представителя Ping An, эта система уже использовалась двумя медицинскими учреждения в городе Ухань. Оба медицинских центра использовали систему для загрузки готовых компьютерных слайдов в районную больницу Дунсиху в г. Ухань для постановки диагноза. 

По состоянию на 4 марта с помощью этой системы анализа КТ-изображений для диагностики коронавирусной инфекции были обработаны данные 140 пациентов из вышеуказанных медицинских центров, и их количество постоянно растет.

Аналогичная система была совместно разработана Шанхайским клиническим центром общественного здравоохранения и шанхайским стартапом Yitu Healthcare. С помощью этой новой системы на базе искусственного интеллекта можно автоматически определить область поражения и провести количественный анализ за 2-3 секунды.