Разрабатывается недорогой портативный МРТ-сканер для исследований мозга
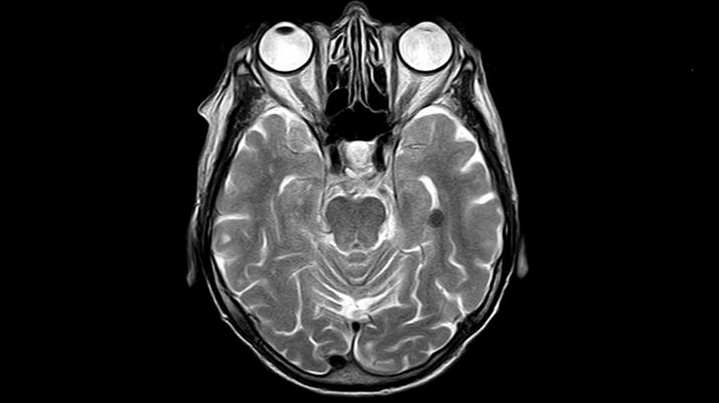
Когда речь идет о сканировании головного мозга для оценки травмы головы, обнаружения рака мозга и выполнения множества других тестов, магнитно-резонансная томография (МРТ) является лучшим вариантом, но МРТ-сканеры являются дорогостоящими, требуют специальной инфраструктуры и неподвижны. Ученые во главе со специалистами из Массачусетской больницы общего профиля разрабатывают недорогой, компактный и маломощный МРТ-сканер, предназначенный для исследования только головы, который можно установить в машине скорой помощи, ввезти в палату пациента или поместить в небольшие клиники или врачебные кабинеты по всему миру. Это достижение описано в исследовании, опубликованном в журнале Nature Biomedical Engineering.
Уже созданный прототип сканера для МРТ головного мозга можно подключить к стандартной розетке, при этом он гораздо меньше производит шума, чем традиционные сканеры МРТ. Сам магнит в сканере размером с корзину для белья, а общий вес всей системы, включая магнит, катушки, усилители, консоль и тележку, составляет 230 килограммов.

Сканер легко перевозит на тележке один человек. При дальнейшей доработке и замене стандартных компонентов оборудования на более легкие, изготовленные по индивидуальному заказу, по мнению разработчиков, вес возможно уменьшить до 160 килограммов. В ходе тестирования на трех здоровых взрослых добровольцах сканер смог успешно сгенерировать трехмерные изображения мозга. В среднем на это уходило 10 минут.
Как отмечает ведущий автор этой разработки, исследователь в области радиологии в Центре биомедицинской визуализации Массачусетской больницы доктор Кларисса Циммерман Кули (Clarissa Zimmerman Cooley),
Этот тип технологии мог бы действительно расширить возможности МРТ. С некоторыми дальнейшими доработками эта система могла бы позволить получать изображения мозга пациента в месте оказания медицинской помощи, в постели или сканировать в отдаленных местах, где МРТ-сканирование традиционно было недоступно.